How to proceed with front teeth implants, which are good at Suwon implants

How to proceed with front teeth implants, which are good at Suwon implants

When I smiled at someone for the first time, the first part I saw was my front teeth. So there are a lot of people who want to have neat white teeth, but what if this area was lost for some reason? In this situation, not only does it not look pretty, but it also suffers various inconveniences in life functionally, so I thought I had no choice but to look for places that are good at Suwon implants.

Who should I do an implantation for my front teeth?1. If the tooth fails to recover due to difficulty in treatment 2. If the tooth fails to recover due to trauma 3. If the tooth with weak gums is shaken or removed 4. If the number of teeth is insufficient because there are no natural permanent teeth, the front tooth implant could be implanted and returned to its original state.

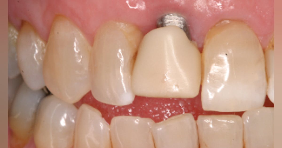
Since four front teeth are exposed first, the shape of the gums should be in harmony with the surroundings and natural shape before conducting the operation, and it should be noted that the transparency, aesthetics, and cutting functions of the teeth should be carefully considered. As a result, our hospital, which is a good place for Suwon implants, was first conducting 3D CT scans to check the overall condition of the oral cavity and suggesting in which direction the technique is performed. We need to design carefully so that it can have a transparent feeling like natural teeth, but we could get this only if we chose a place with know-how.

Then what kind of know-how should we have to proceed? In the case of the front teeth, the area connecting the foundation and the prosthesis had to be made of ceramic. Otherwise, the metal will appear, but it will be difficult to feel transparent like natural teeth, so it could have an awkward feeling. Therefore, it was necessary to make a natural change by taking into account the color, shape, and transparency of the medical personnel who are meticulous in design.

In response, this school carefully examined the thickness, shape, and shape of each individual’s gums, and customized production and use them. In the case of uniform ready-made products, we can make unnatural results, so we are making more natural results in the direction of making and using them, so you can expect the change you wanted.

The important part of the operation is to determine the location, direction, and angle of implantation. In the case of this hospital, which is a good place for implants in Suwon, we can help each person improve their dental problems based on their experiences. In addition, modern people feel burdened by having to take time to visit a hospital, but they can make a navigation using a 3D printer and implant it immediately so that it can proceed immediately on the same day, so they can choose it without worrying.

In addition, there are people who are putting off because they are afraid of getting sick during the implantation process, that is, because of the fear of pain, but I was suggesting a sleeping method so that you can receive treatment comfortably as if you were taking a nap. This can be done in various ways, including laughter gas, oral sedation, and intravenous sedation, considering individual conditions, and dental phobia is often missed because not only young children but also adults can have it. If we applied a method that could proceed with a comfortable implantation process to these people, we could have chosen a place that was more comfortable to visit and was good at Suwon implants without much burden.If so, who can apply this sleep method? 1. If you are concerned about long-term pain because complex treatment is required 2. If you do not want to leave memories of treatment, such as implants, bone transplants, or wisdom teeth extraction. 4. If you have trauma about visiting a dentist. 5. If you are unhappy with moving devices in your mouth. If you are not anesthetized or are afraid of causing harm to the body, you may be worried that sedation therapy, or sleep, may be applied in various situations, but the Suwon Implant Center is conducting a measure of vital signs in the process.At this time, we are not just relying on the senses of medical personnel, but helping them improve their lost front teeth according to various diagnostic results, and we are always doing our best to ensure that everyone is satisfied. In particular, through systematic analysis, it is based on comfortable treatment in a way that can reduce worries about post-mortem problems, so we can create results that can make you smile brightly even if you don’t care about others. And it was a place where you could gain higher trust because it had a dentozone water purification system and an air room system that could significantly lower the probability of infection.The loss of teeth not only reduces aesthetics but also causes various discomfort in functional areas, but it was especially stressful because it was a noticeable area. Therefore, if you have lost your front teeth, please find a place where you are good at Suwon implants with a comfortable mind, get honest and accurate consultations with skilled medical staff, and regain your confidence.The loss of teeth not only reduces aesthetics but also causes various discomfort in functional areas, but it was especially stressful because it was a noticeable area. Therefore, if you have lost your front teeth, please find a place where you are good at Suwon implants with a comfortable mind, get honest and accurate consultations with skilled medical staff, and regain your confidence.Previous imageNext imagePrevious imageNext imagePrevious imageNext image